טיפולי שיניים והשתלות שיער ברמה גבוהה עם ליווי אישי מלא

GM Medical Tourism מחברת אתכם למרפאות מקצועיות, צוות מנוסה ותהליך מסודר, נוח ושקוף מהפנייה הראשונה ועד החזרה הביתה.

צוות רפואי מקצועי של GM Medical Tourism

השירותים שלנו

אנו מציעים פתרונות מתקדמים בתחום השיניים והשתלות השיער עם דגש על איכות רפואית, יחס אישי ותיאום מלא לאורך כל הדרך.

טיפולי שיניים

טיפולי שיניים

טיפולי שיקום, כתרים, שתלים, אסתטיקה דנטלית ופתרונות מותאמים אישית עם תכנון מקצועי ותוצאות ברמה גבוהה.

השתלת שיער

השתלות שיער

פתרונות מתקדמים להשתלת שיער במראה טבעי, ליווי מסודר ובחירה במרפאות מקצועיות עם ניסיון וסטנדרט גבוה.

איך זה עובד?

תהליך פשוט, ברור ונוח שמאפשר לכם לדעת בדיוק מה מחכה לכם בכל שלב.

פנייה ראשונית

שולחים לנו הודעה ב-WhatsApp ומספרים בקצרה איזה טיפול מעניין אתכם.

בדיקה והתאמה

אנחנו בודקים את המקרה, מבקשים חומרים רלוונטיים ומתאימים עבורכם את המסלול הנכון.

תיאום מלא

מקבלים סדר ברור של התהליך, זמינות, מידע חשוב והכוונה מלאה לפני ההגעה.

ליווי עד התוצאה

אתם מלווים לאורך כל הדרך, עם דגש על שקיפות, סדר ושקט נפשי.

למה לבחור בנו?

כי בטיפול רפואי לא מחפשים רק מחיר — מחפשים ביטחון, מקצועיות וליווי אמיתי.

ליווי אישי

זמינות גבוהה, מענה ברור ותהליך מסודר מהפנייה הראשונה.

צוות מקצועי

עבודה עם אנשי מקצוע מנוסים וסביבת טיפול ברמה גבוהה.

שקיפות מלאה

הסבר ברור על התהליך, הציפיות והשלבים בלי בלבול ובלי הפתעות.

הצוות שלנו

הצוות שמלווה אתכם מורכב מאנשי מקצוע שעובדים בסטנדרט גבוה, עם יחס אנושי ודיוק מקצועי.

רופא מצוות GM Medical Tourism

צוות רפואי מקצועי

טיפולי שיניים
אשת צוות רפואי של GM Medical Tourism

ליווי אישי ומקצועי

שירות וליווי מטופלים
אשת צוות רפואי נוספת של GM Medical Tourism

צוות מנוסה

התאמה ותיאום תהליך

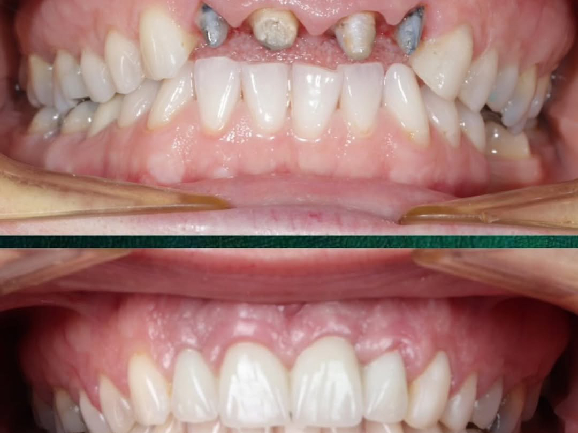
תוצאות אמיתיות

דוגמאות לתהליכים ותוצאות שממחישים את רמת הטיפול והדיוק המקצועי.

רוצים להתחיל?

שלחו לנו הודעה עכשיו וקבלו הכוונה ראשונית, בדיקה והתאמה של הטיפול המתאים לכם.

מעבר ל-WhatsApp
WhatsApp